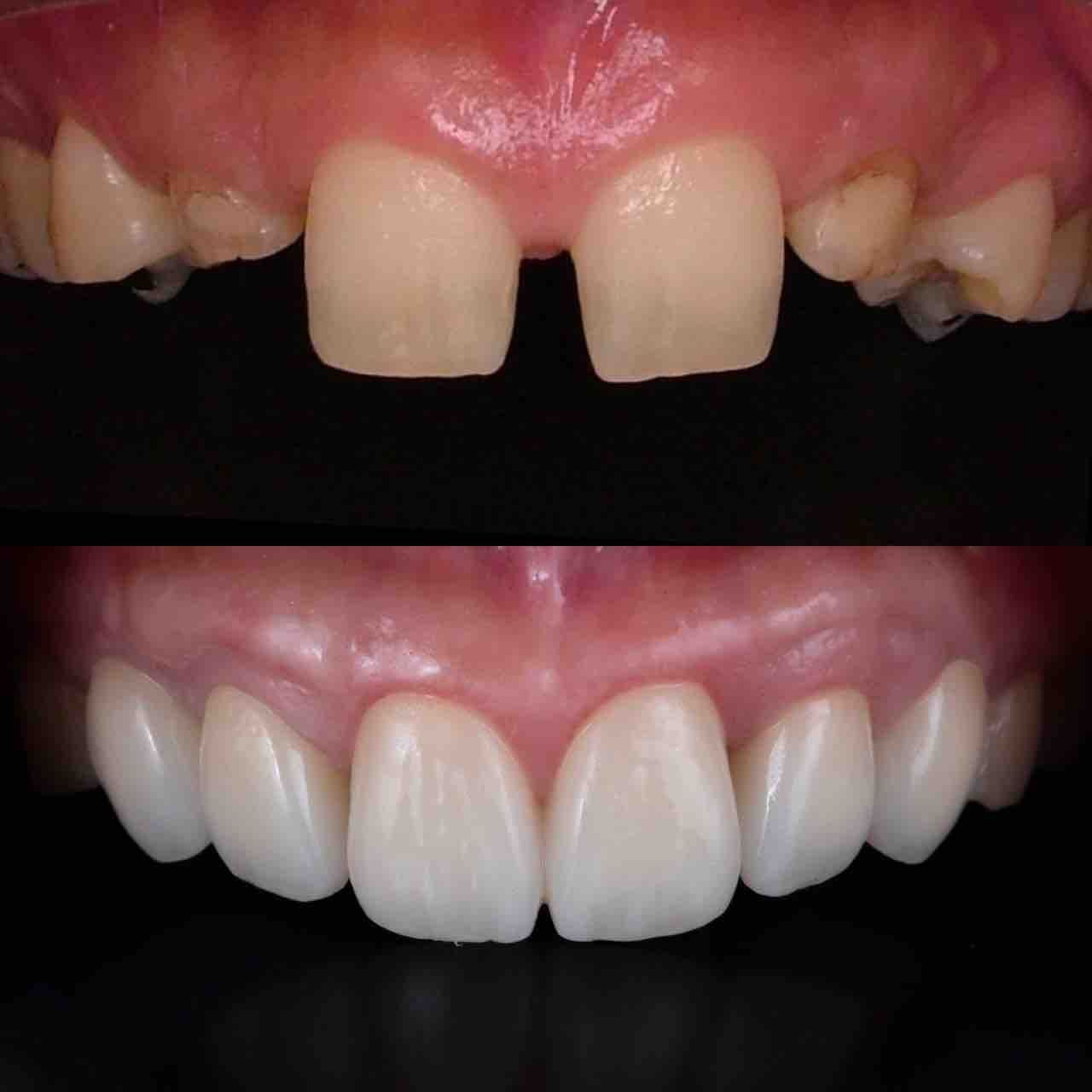
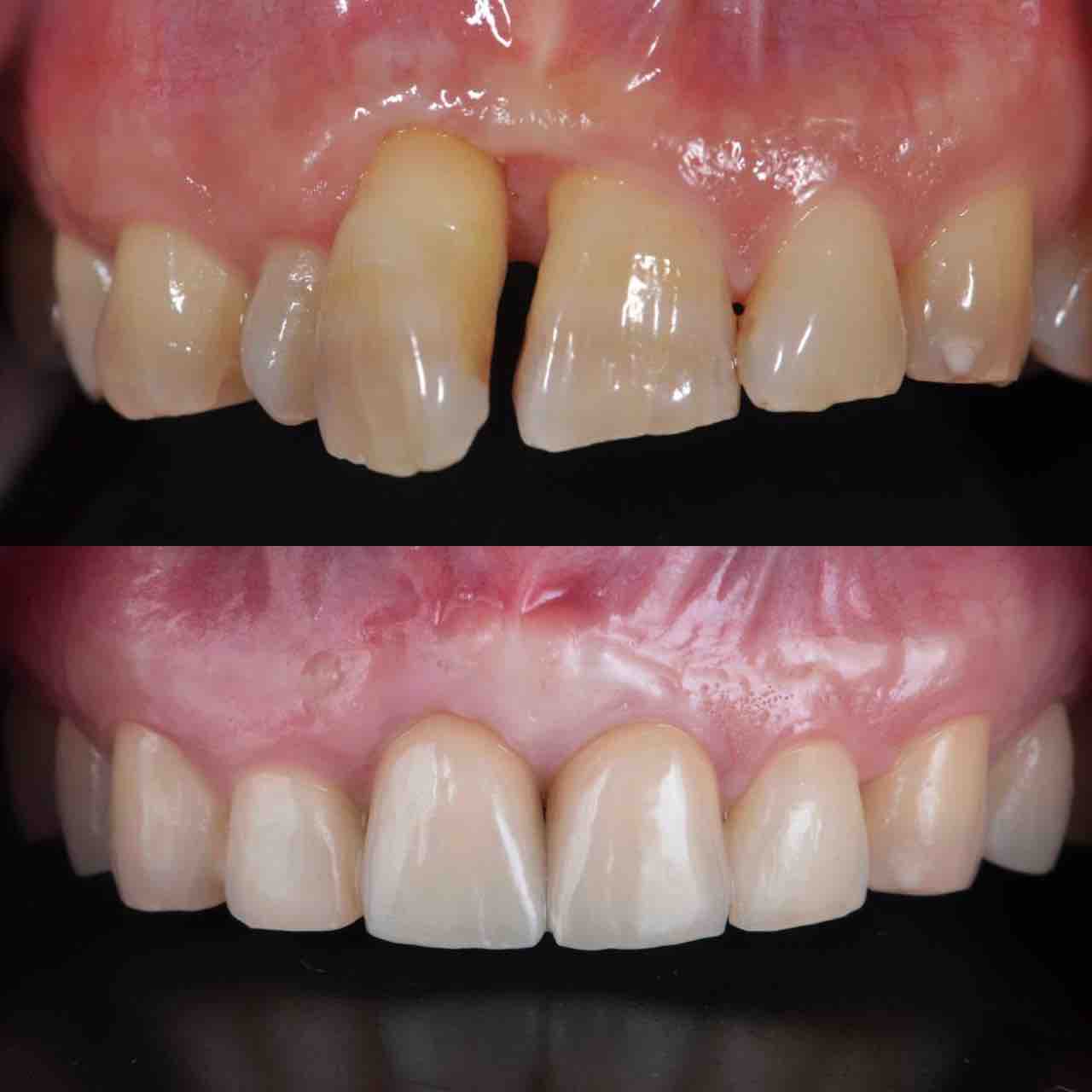
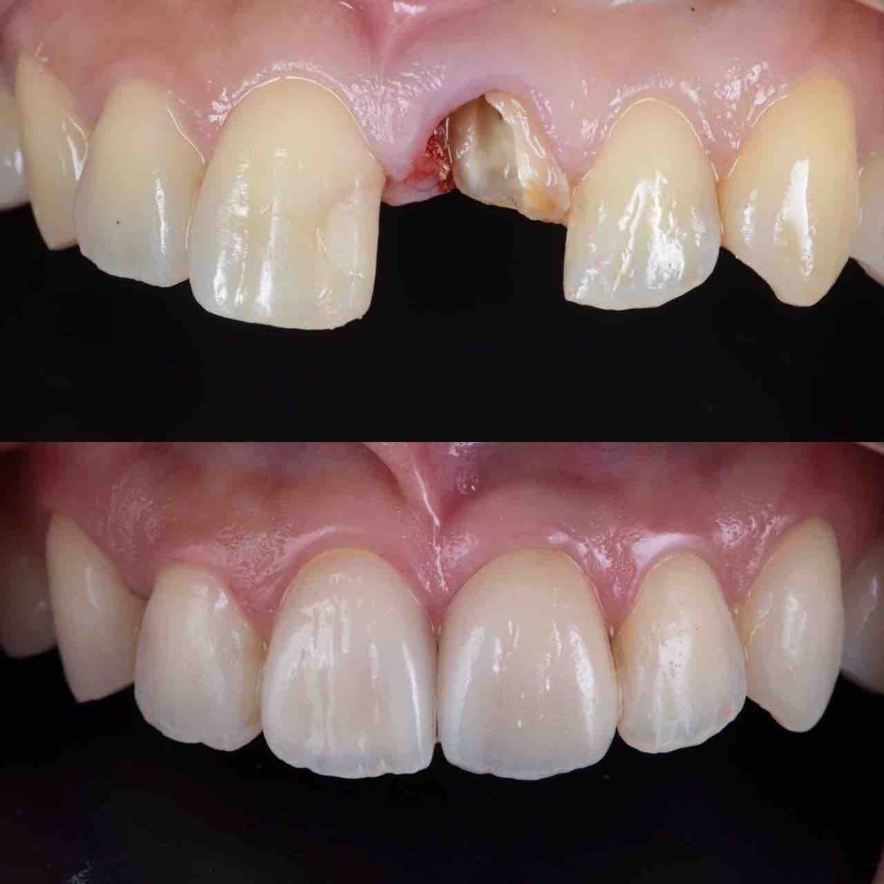
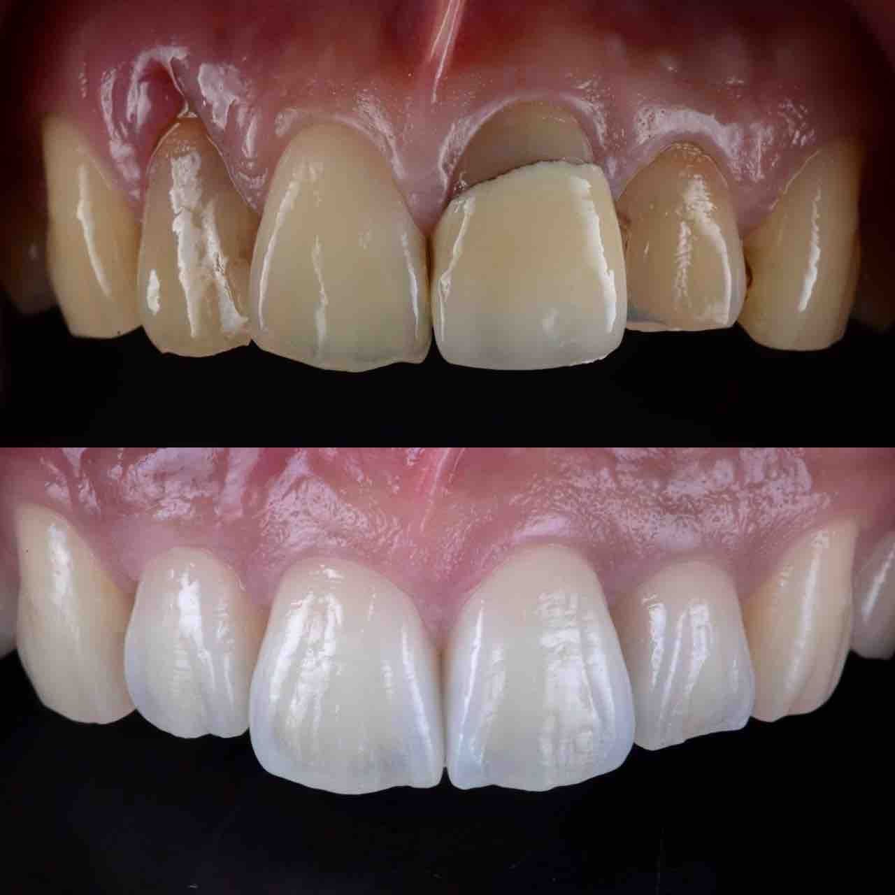
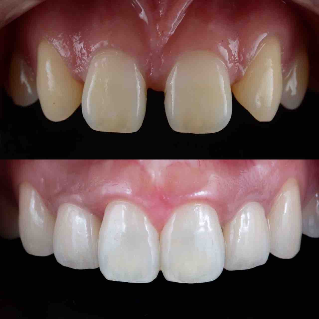
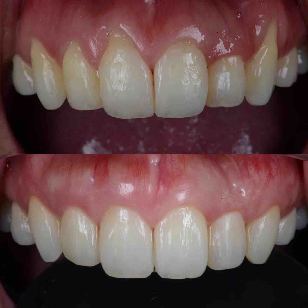
À¤³¦TOP¥ì¥Ù¥ë¤Î¥¤¥ó¥×¥é¥ó¥È¼£ÎŨ



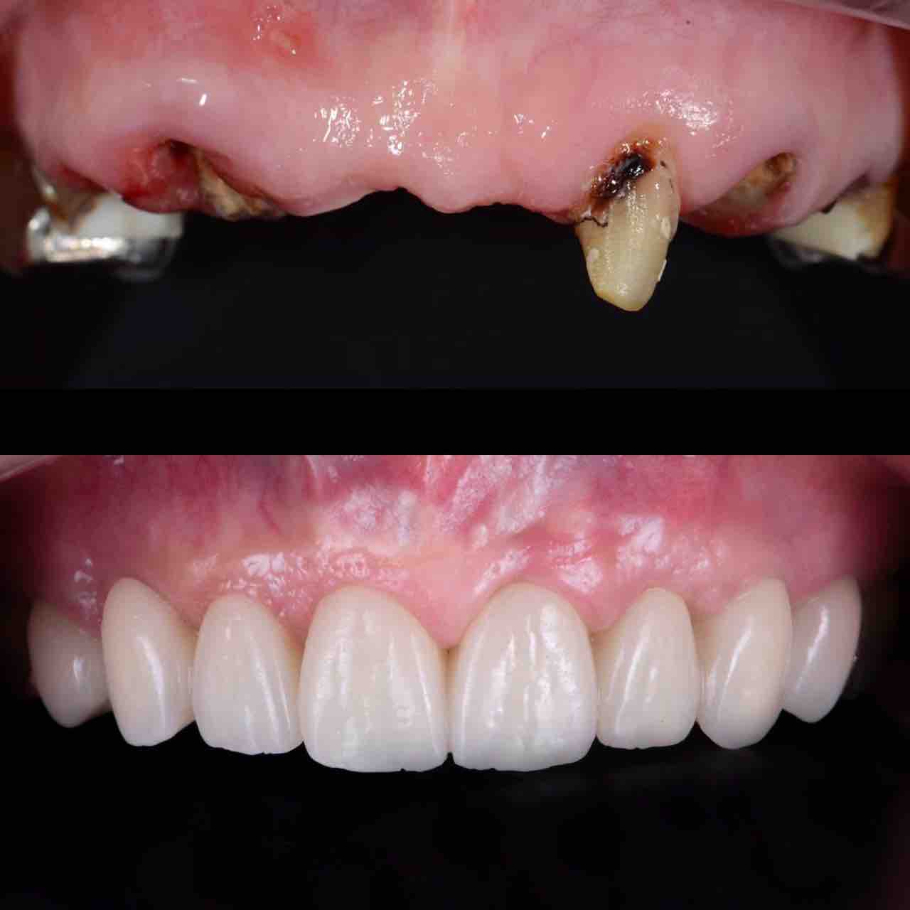
À¤³¦TOP¥ì¥Ù¥ë¤Î¥¤¥ó¥×¥é¥ó¥È¼£Îŧ



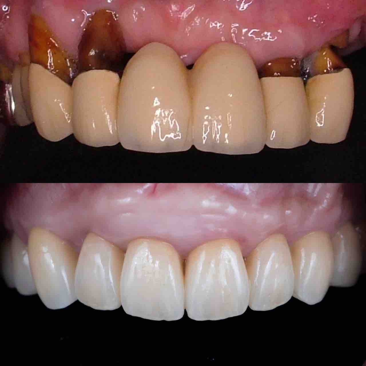
À¤³¦TOP¥ì¥Ù¥ë¤Î¥¤¥ó¥×¥é¥ó¥È¼£ÎŦ



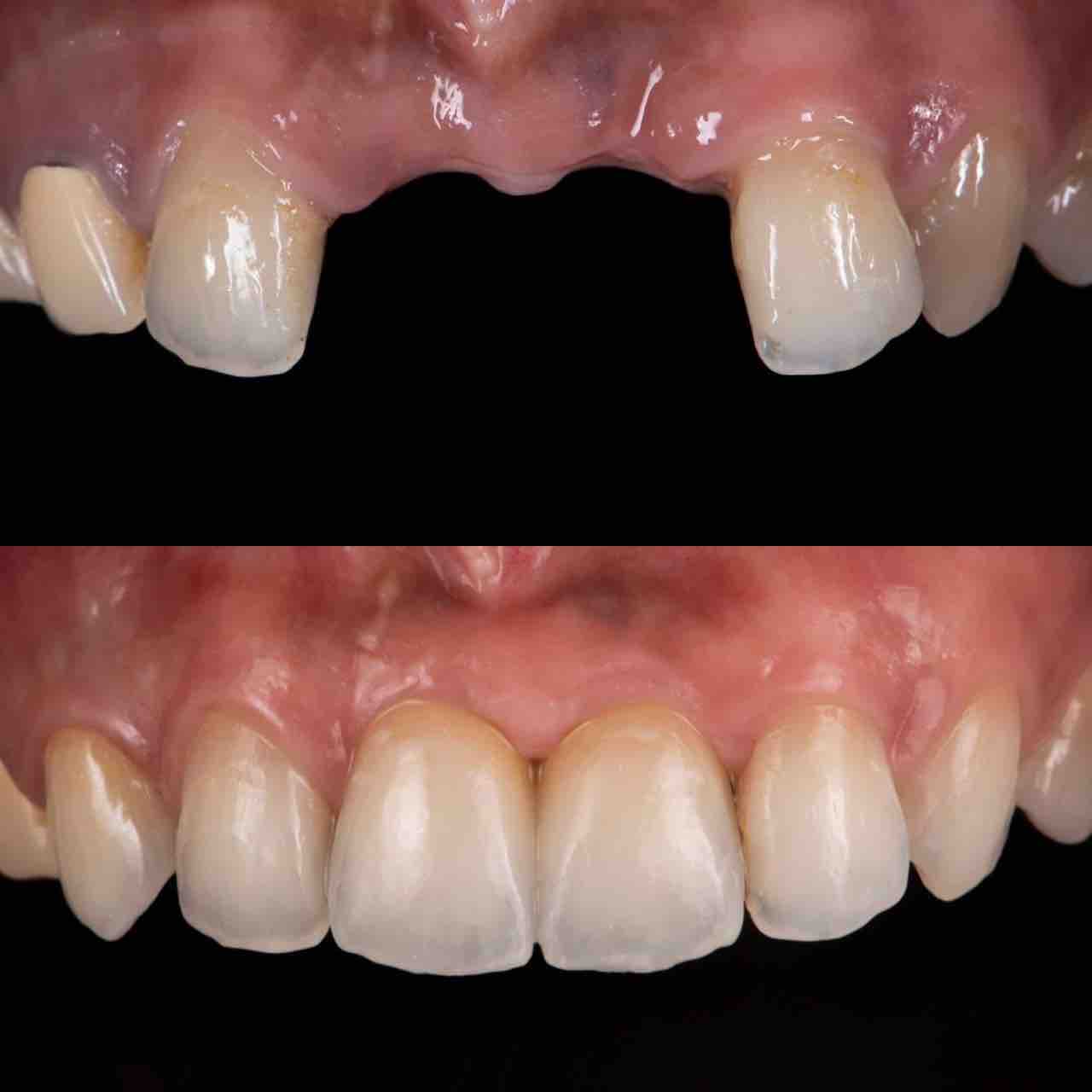
À¤³¦TOP¥ì¥Ù¥ë¤Î¥¤¥ó¥×¥é¥ó¥È¼£ÎÅ¥



À¤³¦TOP¥ì¥Ù¥ë¤Î¥¤¥ó¥×¥é¥ó¥È¼£ÎŤ



À¤³¦TOP¥ì¥Ù¥ë¤Î¥¤¥ó¥×¥é¥ó¥È¼£ÎÅ£



À¤³¦TOP¥ì¥Ù¥ë¤Î¥¤¥ó¥×¥é¥ó¥È¼£ÎÅ¢



À¤³¦TOP¥ì¥Ù¥ë¤Î¥¤¥ó¥×¥é¥ó¥È¼£ÎÅ¡



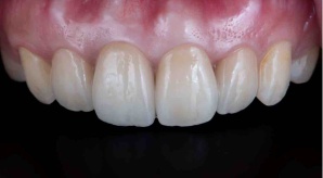
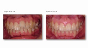
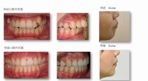
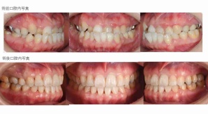
Èþ¤·¤¤¸ý¸µ¤Ë¡¡Ã°Ìî»õ²Ê¶ºÀµ¼£ÎŪ



Èþ¤·¤¤¸ý¸µ¤Ë¡¡Ã°Ìî»õ²Ê¶ºÀµ¼£ÎÅ©



Èþ¤·¤¤¸ý¸µ¤Ë¡¡Ã°Ìî»õ²Ê¶ºÀµ¼£ÎŨ



Èþ¤·¤¤¸ý¸µ¤Î¡¡Ã°Ìî»õ²Ê¶ºÀµ¼£Îŧ



Èþ¤·¤¤¸ý¸µ¤Ë¡¡Ã°Ìî»õ²Ê¶ºÀµ¼£ÎŦ



Èþ¤·¤¤¸ý¸µ¤Ë¡¡Ã°Ìî»õ²Ê¶ºÀµ¼£ÎÅ¥



Èþ¤·¤¤¸ý¸µ¤Ë¡¡Ã°Ìî»õ²Ê¶ºÀµ¼£ÎŤ



Èþ¤·¤¤¸ý¸µ¤Ë¡¡Ã°Ìî»õ²Ê¶ºÀµ¼£ÎÅ£



Èþ¤·¤¤¸ý¸µ¤Ë¡¡Ã°Ìî»õ²Ê¶ºÀµ¼£ÎÅ¢



Èþ¤·¤¤¸ý¸µ¤Ë¡¡Ã°Ìî»õ²Ê¶ºÀµ¼£ÎÅ¡



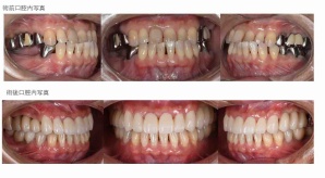
À¤³¦TOP¥ì¥Ù¥ë¤Î»õ²Ê¼£ÎÅ¡¡¥¤¥ó¥¹¥¿ÊÔ

¥¤¥ó¥¹¥¿¥°¥é¥à¤ËºÜ¤»¤Æ¤¤¤ëÅö±¡¤Î¾ÉÎã¤Ç¤¹
















»õ²Ê°å»Õ¤âÀ仿¡¢À¤³¦TOP¥ì¥Ù¥ë¤Î»õ²Ê¼£ÎÅ
´µ¼Ô¤µ¤ó¤Ë¤Ï»õ²Ê°å»Õ¤Î¼£ÎŤμÁ¤Îº¹¤Ï¤ï¤«¤ê¤Þ¤»¤ó¡£¤¿¤À¡¢»õ²Ê°å»Õ¤ÎÏӤκ¹¤Ë¤Ï¡¢±ÀÅ¥¤Îº¹¤¬¤¢¤ê¤Þ¤¹¡£»ä¼«¿®¡¢¼«²è¼«»¿¤Ç¤Ï¤·¤ç¤¦¤¬¤Ê¤¤¤Î¤Ç¡¢µÒ´ÑŪ¤Êɾ²Á¤òÆÀ¤é¤ì¤ë¤è¤¦¹ñÆâ³°¤Ë¤ÆÇ§¤á¤é¤ì¤ë¤è¤¦Àº¿Ê¤·¤Æ¤¤Þ¤·¤¿¡£
»õ²Ê¼£ÎŤÇ1ÈÖÂçÀڤʤ³¤È¤Ï¡¢»õ°å¼Ô¤µ¤óÁª¤Ó¤Ç¤¹¡£


¾Ü¤·¤¯¤Ï¥¤¥ó¥¹¥¿¥°¥é¥à¡¢DR_TANNO¤Ç¸¡º÷¤ª´ê¤¤¤·¤Þ¤¹🤲







»õ²Ê¼£ÎŤÇ1ÈÖÂçÀڤʤ³¤È¤Ï¡¢»õ°å¼Ô¤µ¤óÁª¤Ó¤Ç¤¹¡£


¾Ü¤·¤¯¤Ï¥¤¥ó¥¹¥¿¥°¥é¥à¡¢DR_TANNO¤Ç¸¡º÷¤ª´ê¤¤¤·¤Þ¤¹🤲







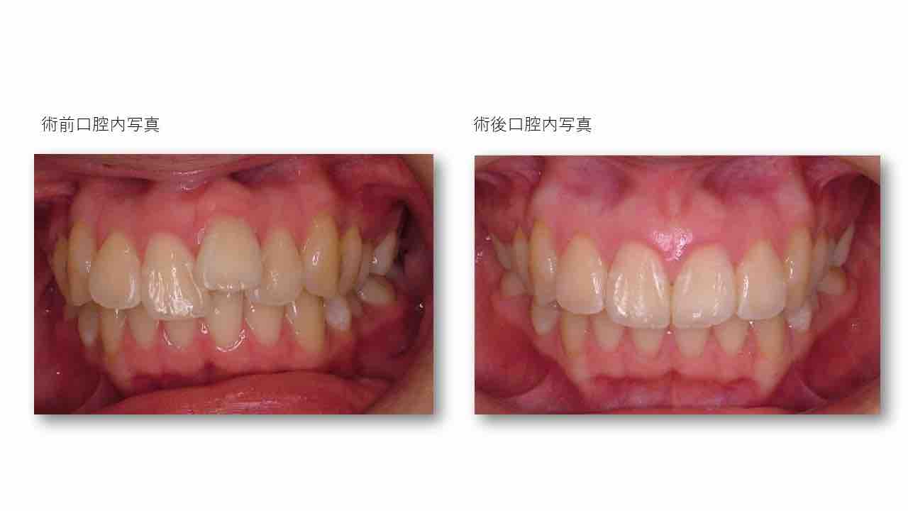
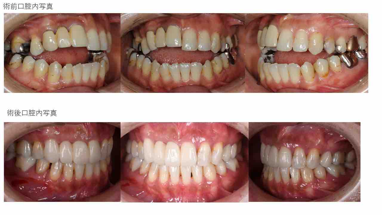
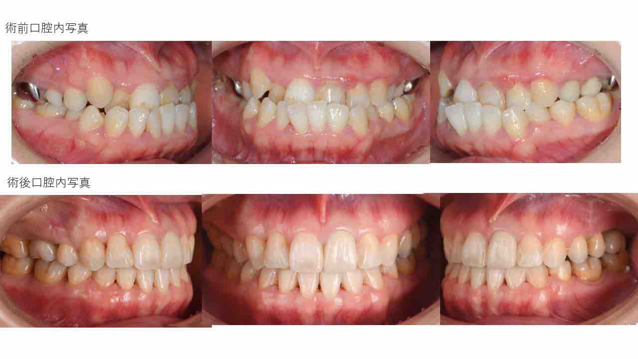
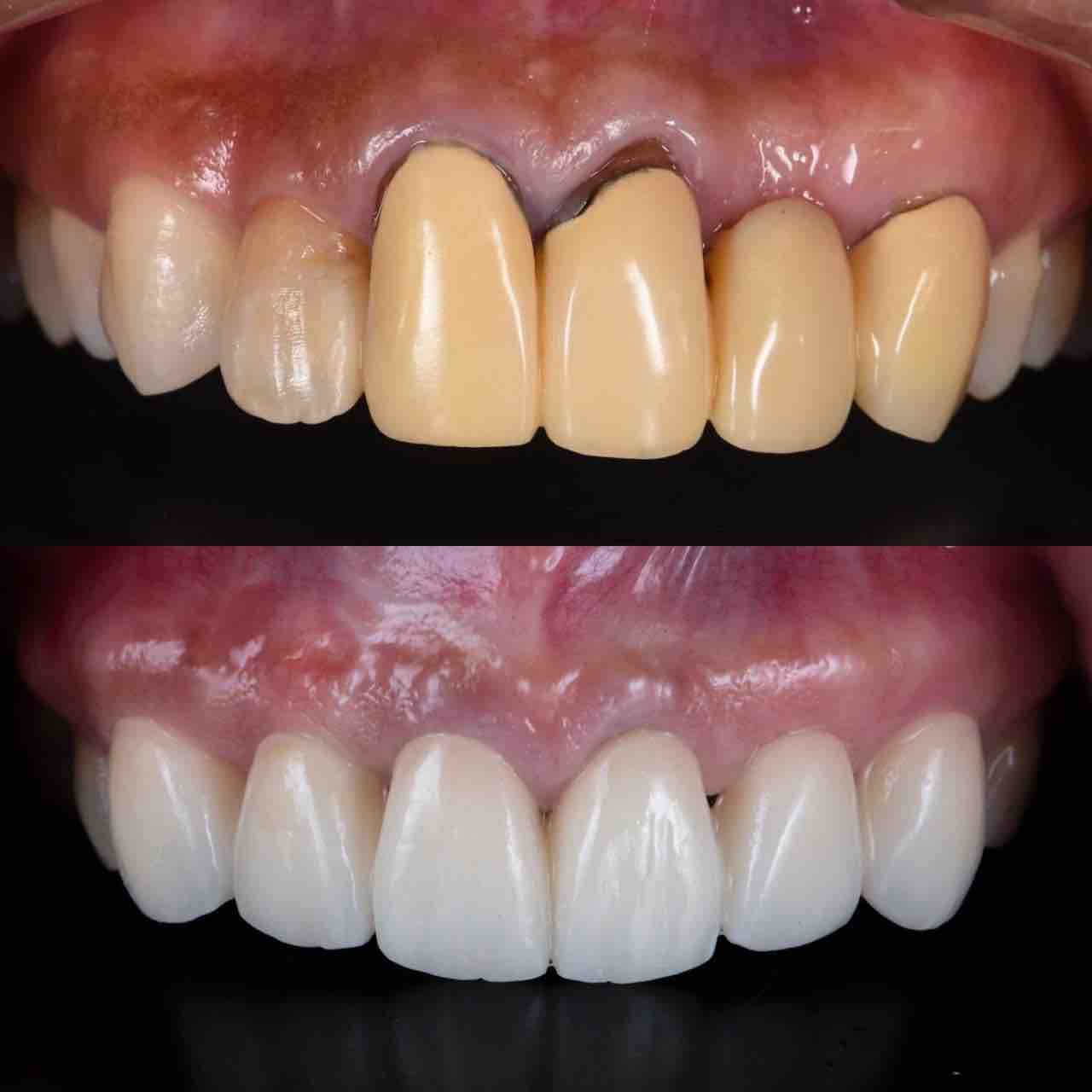
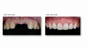
ðÌî»õ²Ê¾ÉÎ㢠ÀèÅ··ç»¶ºÀµ¥¤¥ó¥×¥é¥ó¥È



ðÌî»õ²Ê¾ÉÎã¡¶ºÀµ¥¤¥ó¥×¥é¥ó¥È¥»¥é¥ß¥Ã¥¯



ÆüËÜÎ×¾²»õ¼þɳزñ¤Ë¤Æ¾·ÂԹֱ餷¤Þ¤·¤¿
ÆüËÜÎ×¾²»õ¼þɳزñ40¼þǯµÇ°Âç²ñ¤Ë¤Æ¡¢¾·ÂÔ¹Ö±é¤ò¤¤¤¿¤·¤Þ¤·¤¿¡£








GC100¼þǯµÇ°Âç²ñ¹Ö±é½ªÎ»
±Ñ¸ì¤Ç¤Î¹Ö±é¤ò̵»ö½ª¤¨¤ë¤³¤È¤¬¤Ç¤¤Þ¤·¤¿¡£
ÆüËÜÂåɽ¤È¤·¤Æ¡¢¹â¤¤É¾²Á¤òÆÀ¤é¤ì¤¿¤ß¤¿¤¤¤Ç¤¹¡£😊



ÆüËÜÂåɽ¤È¤·¤Æ¡¢¹â¤¤É¾²Á¤òÆÀ¤é¤ì¤¿¤ß¤¿¤¤¤Ç¤¹¡£😊



























